Περιφερική αρτηριοπάθεια

Τι είναι η περιφερική αποφρακτική αρτηριοπάθεια
Η αποφρακτική αρτηριοπάθεια οφείλεται κατά κανόνα στην ανάπτυξη αθηρωματικής πλάκας στο τοίχωμα των αρτηριών που τροφοδοτούν με αίμα τα κάτω άκρα.
Οι αρτηρίες αυτές είναι η αορτή, οι λαγόνιες αρτηρίες (κοινή, έσω και έξω λαγόνιος), οι μηριαίες αρτηρίες (κοινή, εν τω βάθει και επιπολής), οι ιγνυακές και τέλος οι κνημιαίες αρτηρίες.
Η αθηρωμάτωση προκαλεί στένωση ή απόφραξη των αρτηριών και μειώνει τη ροή του αίματος με συνέπεια να μην φτάνει τόσο οξυγόνο και θρεπτικές ουσίες όσο χρειάζεται ο οργανισμός στα κάτω άκρα.
Η ανάπτυξη της αθηρωματικής πλάκας γίνεται σταδιακά και περιλαμβάνει τη συσσώρευση λιπιδίων, αιμοπεταλίων, ινώδους ιστού και ασβεστίου στο αρτηριακό τοίχωμα.


Οι παράγοντες κινδύνου που προδιαθέτουν στην περιφερική αρτηριοπάθεια
Η αιτία της αρτηριοπάθειας των κάτω άκρων είναι συνήθως η αθηροσκλήρυνση η οποία προκαλεί βαθμιαία απόφραξη της ροής του αίματος. Οι παράγοντες κινδύνου που προδιαθέτουν στην αθηροσκλήρυνση είναι:
-Το κάπνισμα. Η συσχέτιση καπνίσματος-περιφερικής αρτηριοπάθειας είναι ακόμα μεγαλύτερη και από τη συσχέτιση καπνίσματος-στεφανιαίας νόσου.
-Ο σακχαρώδης διαβήτης αποτελεί κύρια αιτία αποφρακτικής περιφερικής αρτηριοπάθειας.
-Η αυξημένη ηλικία. Ο επιπολασμός της αρτηριοπάθειας των κάτω άκρων αυξάνει με την ηλικία.
-Η υπέρταση, η αυξημένη χοληστερόλη ή τα τριγλυκερίδια, η νεφρική ανεπάρκεια και η παχυσαρκία.
Όσους περισσότερους παράγοντες κινδύνου έχει κάποιος τόσο αυξάνει την πιθανότητα να παρουσιάσει αυτή τη νόσο.


Ποια είναι η επιδημιολογία της περιφερικής αρτηριοπάθειας
Η περιφερική αρτηριοπάθεια γίνεται όλο και πιο συχνή στις ανεπτυγμένες χώρες καθώς ο πληθυσμός γερνά περισσότερο. Πέντε με δέκα τοις εκατό του ενήλικου πληθυσμού πάσχει από αυτή τη νόσο εάν υπολογίσουμε και τους ασυμπτωματικούς ασθενείς.
Η συχνότητα των ασθενών με διαλείπουσα χωλότητα είναι 5-6% του πληθυσμού άνω των 70 ετών.
Στην Ευρώπη και τις Η.Π.Α υπολογίζεται ότι παρουσιάζονται 1000 νέες περιπτώσεις με σοβαρή ισχαιμία και επαπειλούμενη απώλεια σκέλους το χρόνο/εκατομμύριο πληθυσμού.



Συμπτώματα που προκαλεί η περιφερική αρτηριοπάθεια
Στις περισσότερες περιπτώσεις η νόσος εκδηλώνεται με πόνο ή κράμπα στο βάδισμα (στη γάμπα, στο μηρό ή τον γλουτό) που υποχρεώνει τον ασθενή να σταματήσει το περπάτημα. Μετά από λίγα λεπτά ανάπαυσης ο πόνος φεύγει για να επανεμφανιστεί εάν ο ασθενής περπατήσει πάλι την ίδια απόσταση. Είναι το στάδιο της διαλείπουσας χωλότητας.
Σε πιο προχωρημένα στάδια οι ασθενείς ενδέχεται να παρουσιάζουν ισχυρό πόνο ακόμη και όταν είναι ξαπλωμένοι (άλγος ηρεμίας), ή να δημιουργηθούν πληγές στα κάτω άκρα που δεν επουλώνονται. Σε περίπτωση επιδείνωσης οι πληγές αυτές μπορούν να εξελιχθούν σε γάγγραινα και αν δεν γίνει η κατάλληλη θεραπεία να οδηγήσουν σε απώλεια σκέλους.


Ποια είναι τα στάδια της περιφερικής αποφρακτικής αρτηριοπάθειας κατά την κατάταξη Fontaine
Στάδιο Ι: Ασυμπτωματικό
Στο στάδιο αυτό ο ασθενής δεν παρουσιάζει προς το παρόν συμπτώματα. Υπάρχει απώλεια περιφερικών σφύξεων στη φυσική εξέταση και μείωση του σφυρο-βραχιόνιου δείκτη.
Στάδιο ΙΙ: Διαλείπουσα χωλότητα
ΙΙa: χωλότητα για απόσταση βαδίσματος > 200 μέτρα.
IIb: χωλότητα για απόσταση βαδίσματος < 200 μέτρα.
Η εκτίμηση της απόστασης βαδίσματος γίνεται καλύτερα σε κυλιόμενο τάπητα με σταθερή κλίση και ταχύτητα 3.2 km/h.
Στάδιο ΙΙΙ: Ισχαιμικό άλγος ηρεμίας
Στάδιο IV: Απώλεια ιστού-ισχαιμικά έλκη-γάγγραινα
Ο όρος κρίσιμη ισχαιμία περιλαμβάνει την κλινική εικόνα των σταδίων ΙΙΙ και IV, σε συνδυασμό με αντικειμενικές μετρήσεις περιφερικών πιέσεων για την αξιολόγηση της ισχαιμίας.
Η κρίσιμη ισχαιμία αν μείνει χωρίς αντιμετώπιση ενδέχεται να οδηγήσει σε ακρωτηριασμό.
Τι είναι ο σφυρο-βραχιόνιος δείκτης και πως γίνεται η μέτρησή του
Η μέτρηση της αρτηριακής πίεσης στα σφυρά γίνεται με ένα απλό πιεσόμετρο και έναν ειδικό ηχοβολέα Doppler. Ο σφυρο-βραχιόνιος δείκτης (ΣΦΔ) προκύπτει από τη σύγκριση της αρτηριακής πίεσης στα σφυρά με την αρτηριακή πίεση στο βραχίονα.
Σε ορισμένες περιπτώσεις (σε διαβητικούς ασθενείς ή σε ασθενείς που κάνουν χρόνια αιμοκάθαρση), οι αρτηρίες μπορεί να παρουσιάζουν σοβαρές αποτιτανώσεις και να είναι ασυμπίεστες με το πιεσόμετρο δίνοντας ψευδώς αυξημένες τιμές στη μέτρηση του ΣΦΔ.
-ΣΦΔ > 1,2: Ασυμπίεστες αρτηρίες
-ΣΦΔ 1-1,2: Φυσιολογικός
-ΣΦΔ 0,41-0,9: Αρτηριοπάθεια που αντιστοιχεί συνήθως στο στάδιο διαλείπουσας χωλότητας
-ΣΦΔ < 0,41: Σοβαρή αρτηριοπάθεια που αντιστοιχεί συνήθως στο στάδιο κρίσιμης ισχαιμίας


Απαραίτητες εξετάσεις για να γίνει διάγνωση και να προγραμματιστεί η ενδεχόμενη θεραπεία
To Triplex (υπερηχογράφημα Duplex), συνδυάζει την υπερηχογραφική απεικόνιση με την ανάλυση της ροής του αίματος. Είναι η πρώτη εξέταση που συνήθως ζητείται για την αξιολόγηση της αρτηριοπάθειας. Δίνει σημαντικές πληροφορίες για την ύπαρξη αρτηριακών αποφρακτικών βλαβών και την αιμοδυναμική σημασία τους.
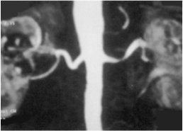
Η αξονική και η μαγνητική αγγειογραφία οι οποίες είναι πολύ αποτελεσματικές μέθοδοι αγγειακής απεικόνισης. Δίνουν πληροφορίες για την ύπαρξη αρτηριακών αποφρακτικών βλαβών σε όλο το αρτηριακό δέντρο.
Η αρτηριογραφία η οποία είναι επεμβατική μέθοδος και για τον λόγο αυτό πραγματοποιείται συνήθως προεγχειρητικά ή στην περίπτωση ενδαγγειακής θεραπείας.



Μπορεί η αθηρωμάτωση που προκαλεί την αρτηριοπάθεια των κάτω άκρων να υπάρχει και σε άλλες περιοχές του σώματος;
Η αποφρακτική αρτηριοπάθεια των κάτω άκρων είναι δείκτης ύπαρξης διάχυτης αθηρωμάτωσης. Υπολογίζεται ότι 60 με 65% των ασθενών που πάσχουν από αρτηριοπάθεια των κάτω άκρων, παρουσιάζουν αρτηριακές βλάβες σε άλλη ανατομική περιοχή.
Περισσότεροι από 20% των ασθενών παρουσιάζουν σοβαρές αποφρακτικές βλάβες στα στεφανιαία αγγεία. Περίπου 10% των ασθενών παρουσιάζουν σημαντική στένωση (>70%) στην έσω καρωτίδα. Τέλος, 30% των ασθενών που πάσχουν από αρτηριοπάθεια των κάτω άκρων έχουν στένωση των νεφρικών αρτηριών > 50%.
Ως εκ τούτου σε ασθενείς με περιφερική αποφρακτική νόσο χρειάζεται λεπτομερής έλεγχος για την αποκάλυψη σημαντικής νόσου και σε άλλα σημεία.




Ποιες οδηγίες τρόπου ζωής πρέπει τηρηθούν απαραίτητα και ποια είναι η φαρμακευτική αγωγή
Είναι απαραίτητη η άμεση τροποποίηση των παραγόντων κινδύνου της αθηρωματικής νόσου σε συνδυασμό με λήψη φαρμακευτικής αγωγής:
-με κυριότερο την διακοπή του καπνίσματος.
-ο έλεγχος της υπέρτασης. Είναι απαραίτητη η διατήρηση της αρτηριακής πίεσης <140/90.
-ο έλεγχος της γλυκαιμίας. H τιμή της HbA1c θα πρέπει να είναι < 7%.
-η μείωση του σωματικού βάρους σε περίπτωση παχυσαρκίας.
-η αντιαιμοπεταλιακή θεραπεία (ασπιρίνη ή clopidogrel).
-η υπολιπιδαιμική αγωγή.
Η τακτική άσκηση (30 με 60 λεπτά περπάτημα την ημέρα) βελτιώνει την συμπτωματολογία των ασθενών με διαλείπουσα χωλότητα γιατί βοηθάει στην ανάπτυξη παράπλευρης κυκλοφορίας.


Πότε χρειάζεται επεμβατική θεραπεία στην αντιμετώπιση της περιφερικής αρτηριοπάθειας και πως γίνεται
Πότε χρειάζεται επεμβατική θεραπεία;
Ένδειξη για επαναιμάτωση υπάρχει σε περίπτωση σοβαρής διαλείπουσας χωλότητας μετά από αποτυχία καλά επιτηρούμενου προγράμματος βάδισης και φαρμακευτικής αγωγής.
Επεμβατική θεραπεία χρειάζεται επίσης σε περίπτωση κρίσιμης ισχαιμίας των κάτω άκρων δηλαδή άλγους ηρεμίας, ισχαιμικών ελκών ή γάγγραινας.
Πως γίνεται η επεμβατική θεραπεία;
Η ενδαγγειακή θεραπεία με τη συνεχή εξέλιξη της τεχνολογίας και την εμπειρία που έχουμε αποκτήσει τα τελευταία χρόνια επιτρέπει πλέον την αντιμετώπιση στενώσεων και αποφράξεων μεγάλων αλλά ακόμη πολύ μικρών αρτηριών με πολύ καλά αποτελέσματα.
Η αρτηριακή παράκαμψη (bypass) είναι μια εγχείρηση όπου τοποθετείται ένα μόσχευμα συνθετικό ή φλεβικό πριν και μετά το αποφραγμένο τμήμα της αρτηρίας, ώστε το τμήμα αυτό να παρακάμπτεται.
Ανάλογα με τις αρτηριακές βλάβες (έκταση, σημείο), την συμπτωματολογία και το ιστορικό του κάθε ασθενή, ο αγγειοχειρουργός διαλέγει την κατάλληλη τεχνική.








